Smile Tranformations

GET STARTED

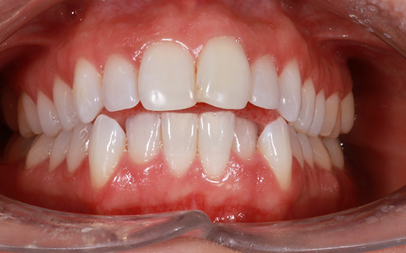
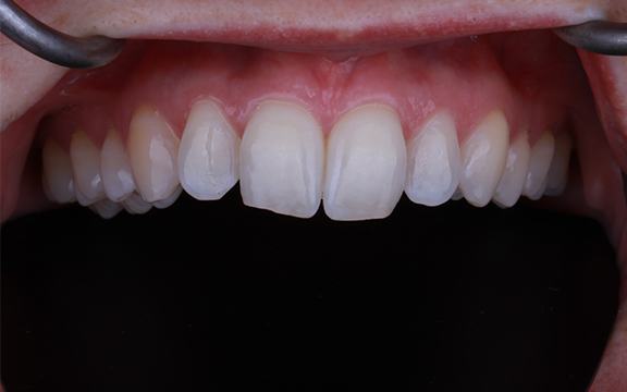
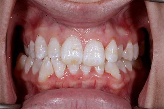
Before & After Photos

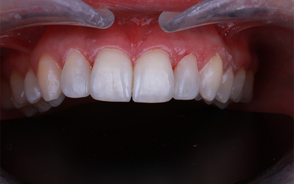
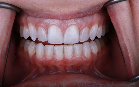
bridge before after bridge before after
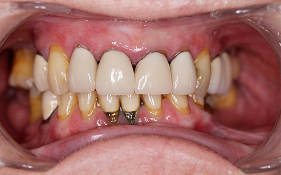
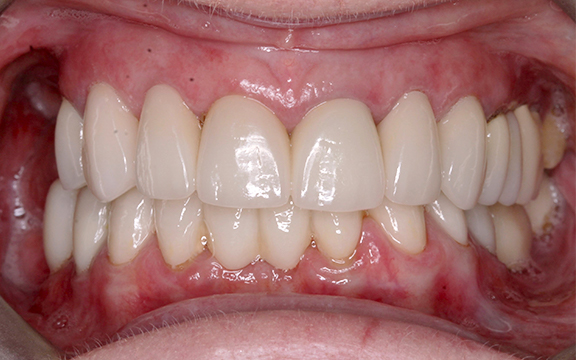
bridge before after bridge before after
invisalign before after invisalign before after
invisalign before after invisalign before after
invisalign before after invisalign before after
invisalign before after invisalign before after
invisalign and Bonding before after invisalign and Bonding before after
invisalign and Bonding before after invisalign and Bonding before after
invisalign and Bonding before after invisalign and Bonding before after
Resin bonding and reshaping before after Resin bonding and reshaping before after
Resin veneers before after Resin veneers before after
veneers before after veneers before after

Dental crowns and bridges are great restorative dentistry treatment options for anyone missing These images are for informational purposes only. Treatment results vary from patient to patient, and not all patients are suitable candidates for treatment. Talk with your dentist about what’s right for you.